Pular para o conteúdo
Sociedade de Radiologia do Paraná

R: Padre Anchieta, 2310 - 14º andar - Ed. La Défense
CEP 80.730-000 - Bigorrilho / Curitiba - PR
Email: sociedaderadiologiaparana@gmail.com
Whatsapp: 41-99288-1738
  • Eventos
    • Jornada Paranaense de Radiologia
    • Programação Cientifíca
  • Jornal da SRP
  • A SRP
    • Diretoria
    • Ex-presidentes
    • Clube do Interior
  • Contato
  • Área do associado
  • Conecte-se
  • F.A.Q
Menu principal

5

9 de março de 2023Marcelo Almeida

Postagem anterior

Navegação de artigos

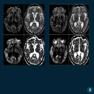
Caso do Dia – Encefalopatia espongiforme

Siga a SRP nas mídias:

- Facebook: Sociedade de Radiologia do Paraná
- Instagram: @srp_radiologia
- X: SRP_RADIOLOGIA

Maratona Nacional do CBR

  Associe-se  

Conheça as vantagens e se associe.

Responsável técnica

Dra. Dolores Bustelo, Diretora de Divulgação.
CRM: 10670-PR / RQE 12693.

Agência oficial da SRP

Faça sua viagem com segurança e com qualidade
E-mail: anafigueiredo@personnalitevoyage.com.br
Telefone: (41)3319-6585
WhatsApp: (41)98498-0408

Lembrar-me
Perdeu sua senha?
Não tem uma conta? Registrar-se
Desenvolvido por:
iv3 Interatividade Virtual
iv3.com.br
Sociedade de Radiologia do Paraná.